춘추치과교정과치과의원은 의료법을 준수합니다.로그인 하시면 진료사례 를 보실 수 있습니다.로그인하기
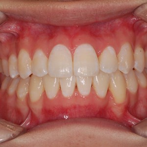
CLI crowding 돌출 발치
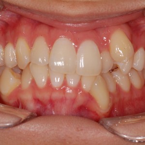
CLI crowding 발치
CL I MARPE
CLIII 양악수술
온라인상담
치료전후사진
공지사항
진료시간표
오시는 길